กระดูกสะโพกหักในผู้สูงอายุ (Hip fracture in senile)
- โดย นพ.อำนวย จิระสิริกุล
- 20 ตุลาคม 2562
- Tweet
สารบัญ
- กระดูกสะโพกหักในผู้สูงอายุ หมายความว่าอย่างไร? เกิดได้อย่างไร?
- ใครมีปัจจัยเสี่ยงต่อการเกิดกระดูกสะโพกหัก?
- อาการอย่างไรจึงสงสัยว่ามีกระดูกสะโพกหักในผู้สูงอายุ?
- เมื่อสงสัยว่าผู้สูงอายุมีกระดูกสะโพกหัก ควรดูแลเบื้องต้นอย่างไร?
- เมื่อสงสัยผู้สูงอายุมีกระดูกสะโพกหัก ควรพบแพทย์เมื่อไร?
- แพทย์วินิจฉัยกระดูกสะโพกหักในผู้สูงอายุได้อย่างไร?
- แพทย์มีวิธีรักษากระดูกสะโพกหักในผู้สูงอายุ อย่างไร?
- กระดูกสะโพกหักในผู้สูงอายุ รักษาเองได้ไหม? ไม่พบแพทย์ได้ไหม?
- ดูแลผู้ป่วยสูงอายุอย่างไรเมื่อได้รับการผ่าตัดดามกระดูกสะโพก?
- กระดูกสะโพกหักในผู้สูงอายุ กี่วันกระดูกจึงติด และดูแลผู้ป่วยอย่างไร? ควรพบแพทย์ก่อนนัดเมื่อไหร่?
- กระดูกสะโพกหักมีการพยากรณ์โรคและผลข้างเคียงอย่างไร?
- ป้องกันกระดูกสะโพกหักได้อย่างไร?
- สรุป
บทความที่เกี่ยวข้อง
- โรคกระดูก (Bone disease)
- กระดูกหัก (Bone fracture)
- ผู้สูงอายุ (Older person)
- วัยหมดประจำเดือน (Menopause)
- โรคกระดูกพรุน โรคกระดูกบาง (Osteoporosis and Osteopenia)
- แผลกดทับ (Bedsores หรือ Decubitus ulcer หรือ Pressure ulcer)
- โรคติดเชื้อทางเดินหายใจ โรคติดเชื้อระบบหายใจ (Respiratory tract infection)
- โรคติดเชื้อระบบทางเดินปัสสาวะ (Urinary tract infection)
- ท้องผูก (Constipation)
กระดูกสะโพกหักในผู้สูงอายุ หมายความว่าอย่างไร? เกิดได้อย่างไร?
กระดูกสะโพกหักในผู้สูงอายุ (Hip fracture in senile) หมายถึงการหักของกระดูกต้นขา (Femur) ที่อยู่บริเวณสะโพกและโคนขาหนีบ (รูป 1) เนื่องจากการหกล้ม สะโพกกระแทกในผู้ป่วยสูงอายุที่มีปัญหากระดูกบางหรือ กระดูกพรุน
ใครมีปัจจัยเสี่ยงต่อการเกิดกระดูกสะโพกหัก?

ปัจจัยเสี่ยงสำคัญที่สุดของผู้สูงอายุ ที่จะทำให้มีกระดูกสะโพกหัก คือ การมีภาวะกระดูกบาง และกระดูกพรุน นอกจากนั้น ยังได้แก่
- อายุ ยิ่งอายุมากขึ้นก็ยิ่งมีโอกาสเกิดกระดูกสะโพกหักมากขึ้น จากทั้งการเกิดภาวะกระ ดูกพรุน และปัญหาในการทรงตัวที่ทำให้เกิดการล้มได้ง่าย
- เพศ พบกระดูกสะโพกหักในผู้หญิงวัยหมดประจำเดือนสูงกว่าในผู้ชาย
- มีโรคเรื้อรังประจำตัว เช่น เบาหวาน เพราะส่งผลให้เกิดกระดูกพรุนได้ง่าย
- ภาวะทุโภชนา กินอาหารไม่มีประโยชน์ หรือขาดอาหาร กระดูกจึงอ่อนแอ หักได้ง่าย
- ไม่ได้ออกกำลังกาย จึงเกิดกระดูกพรุนได้ง่าย
- ผลข้างเคียงจากยาบางชนิดที่ใช้ต่อเนื่อง ที่ทำให้เกิดกระดูกพรุน เช่น ยาสเตียรอยด์
- สูบบุหรี่ และ/หรือดื่มสุรา เพราะทำให้เกิดโรคกระดูกพรุนได้สูง
อาการอย่างไรจึงสงสัยว่ามีกระดูกสะโพกหักในผู้สูงอายุ?
ผู้ป่วยสูงอายุเมื่อหกล้ม แม้ไม่รุนแรง แล้วไม่สามารถลงน้ำหนักบนขาข้างที่ได้รับบาดเจ็บ หรือขยับขาแล้วปวดสะโพกหรือโคนขาหนีบ ให้สงสัยไว้ได้เลยว่าอาจมีสะโพกหัก
เมื่อสงสัยผู้สูงอายุอาจมีกระดูกสะโพกหัก ควรดูแลเบื้องต้นอย่างไร?
เมื่อสงสัยว่า อาจมีกระดูกสะโพกหักในผู้สูงอายุ
- ให้เริ่มต้นด้วยการค่อยๆจับบริเวณข้อเท้าแล้วค่อยๆโยกขาไปมาเบาๆ ถ้าเจ็บห้ามทำต่อ ให้ตามรถพยาบาลมารับที่บ้านได้เลย
- ถ้าต้องนำส่งโรงพยาบาลเอง
- ให้หาแผ่นกระดานสอดใต้แผ่นหลังและขา พันธนาการให้สะโพกและขาอยู่นิ่ง
- แล้วรีบนำส่งโรงพยาบาล
- ถ้าผู้ป่วยสามารถนั่งได้ก็อาจอุ้มขึ้นรถนำส่งโรงพยาบาลได้
- การทำแบบนี้มีจุดมุ่งหมายไม่ให้ปวด และไม่ให้กระดูกที่หักเคลื่อนในระหว่างการเคลื่อนย้าย เพื่อนำส่งโรงพยาบาล
เมื่อสงสัยผู้สูงอายุมีกระดูกสะโพกหัก ควรพบแพทย์เมื่อไร?
การนำส่งแพทย์เร็วช้า แล้วแต่ความสามารถในการนำส่ง และความปวดทุกข์ทรมาน
- โดย ทั่วไปถ้าผู้ป่วยพอลุกนั่งได้ พอขยับขาไปมาได้ พอถ่ายอุจจาระปัสสาวะได้โดยไม่ปวดสะโพกมากนัก ก็สามารถพามาพบแพทย์ช้าหน่อยได้ แต่ควรภายใน 24 ชั่วโมงหลังเกิดอาการ
- แต่โดย ทั่วไปถ้ากระดูกสะโพกหักและเคลื่อน จะปวดมากจนไม่สามารถขยับขา ขยับตัวหรือลุกนั่งได้ ผู้ ป่วยจะไม่พยายามถ่ายอุจจาระปัสสาวะเพราะความปวด ก็ควรนำส่งโรงพยาบาลรีบด่วน/ฉุกเฉิน
แพทย์วินิจฉัยกระดูกสะโพกหักในผู้สูงอายุได้อย่างไร?
การวินิจฉัยกระดูกสะโพกหัก ต้องอาศัยภาพรังสี (เอกซเรย์ภาพกระดูกสะโพก) เสมอ ถ้าไม่มีภาพรังสี แม้มั่นใจว่ามีกระดูกหัก แต่จะไม่รู้ว่ากระดูกหักเป็นชนิดไหน คดโก่งไปทางไหน อย่างไร จึงไม่รู้ว่าควรรักษาด้วยวิธีใด
แพทย์มีวิธีรักษากระดูกสะโพกหักในผู้สูงอายุ อย่างไร?
เมื่อถึงโรงพยาบาล แพทย์ศัลยกรรมกระดูก (แพทย์ออร์โธปิดิกส์) จะเป็นผู้ดูแลรักษาโดย ตรงในการรักษา โดย
- อาจทำการถ่วงขาข้างที่หักไว้ เพื่อช่วยให้กระดูกไม่หักซ้อนกัน จะได้ติดได้ในตำแหน่งที่ถูกต้อง
- ให้ยาระงับอาการปวด
- เจาะเลือด
- ถ่ายภาพรังสีสะโพกและปอด (ดูโรคของปอด เพื่อป้องกันปัญหาจากการใช้ยาสลบในการผ่าตัดรักษากระดูกหัก)
- ตรวจคลื่นไฟฟ้าหัวใจ ดูว่าสามารถผ่าตัดได้หรือไม่
- ทำการปรึกษาแพทย์อายุรกรรม เพื่อให้การดูแลรักษาโรคต่างๆที่ผู้สูงอายุมักจะเป็นอยู่แล้ว
- เตรียมผู้ป่วยให้พร้อมสำหรับการผ่าตัด เพื่อทำการดามกระดูกที่หัก หรือเพื่อเอาหัวกระดูกสะโพกออก และใส่หัวกระดูกสะโพกเทียมแทน ซึ่งการพิจารณาว่าจะเลือกรักษาผ่าตัดด้วยวิธีไหน ย่อมอยู่ในดุลยพินิจของแพทย์ผู้ทำการรักษา
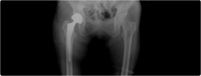
กระดูกสะโพกหักในผู้สูงอายุ รักษาเองได้ไหม? ไม่พบแพทย์ได้ไหม?
กระดูกสะโพกหักในผู้สูงอายุ มักทำให้ผู้ป่วยเสียชีวิต ซึ่งอาจสูงถึง 50% ภายในหนึ่งปีแรก ถ้าไม่ได้รับการรักษา ที่เป็นเช่นนี้เพราะผู้ป่วยเป็นผู้สูงอายุ ถ้าไม่สามารถขยับเขยื้อนเคลื่อนไหวด้วยตนเอง หรือโดยคนอื่นทำให้ ก็จะเกิด
- แผลกดทับ
- ปอดบวม
- ทางเดินปัสสาวะอักเสบ/โรคติดเชื้อระบบทางเดินปัสสาวะ
- ลำไส้ไม่ทำงาน ท้องผูก
ดังนั้น จึงเป็นข้อบ่งชี้ทางการแพทย์ที่จะต้องทำการรักษา เพื่อให้ผู้ป่วยนั่งได้ พลิกตัวได้ จะได้ไม่เกิดโรคแทรกซ้อนดังที่กล่าวมานี้ การรักษาก็จะเป็นการผ่าตัด เพื่อทำการดามกระดูกที่หัก (รูป 2) หรือเพื่อเอาหัวกระดูกสะโพกออก และใส่หัวกระดูกสะโพกเทียมแทน (รูป 3)
ดูแลผู้ป่วยสูงอายุอย่างไรเมื่อได้รับการผ่าตัดดามกระดูกสะโพก?
เนื่องจากกระดูกของผู้สูงอายุมีความบางและพรุน ซึ่งก็เป็นสาเหตุหลักของการที่กระดูกสะ โพกหัก เพราะฉะนั้นแม้เมื่อได้รับการดามด้วยโลหะแล้วก็ตาม ก็มีโอกาสที่จะดามแล้วไม่แน่น ทำให้กระดูกที่หักยังขยับได้ ทำให้ไม่หายปวด และอาจต้องทำการผ่าแก้ไขใหม่
ด้วยเหตุนี้ บ่อยครั้งกระดูกสะโพกหักจะถูกผ่าตัดด้วยการเปลี่ยนหัวกระดูกสะโพกเทียม และยึดให้แน่นด้วยกาวกระดูก (Bone cement)
หลังผ่าตัด แพทย์ผู้ผ่าตัดจะเป็นผู้แนะนำว่า ต้องดูแลผู้ป่วยอย่างไร ขอให้ญาติกรุณาถามคุณหมอให้ละเอียด และทำตามนั้นอย่างเคร่งครัด
กระดูกสะโพกหักในผู้สูงอายุ กี่วันกระดูกจึงติด และดูแลผู้ป่วยอย่างไร? ควรพบแพทย์ก่อนนัดเมื่อไหร่?
เรื่องที่ว่ากระดูกจะติดเมื่อไร ขอให้ถามแพทย์ผู้ให้การผ่าตัดรักษา เพราะจะต่างกันมากในผู้ ป่วยแต่ละคน ขึ้นกับอายุ และสุขภาพของผู้ป่วย
ในการดูแลผู้ป่วยก็เช่นเดียวกัน ควรสอบถามจากแพทย์ พยาบาล ผู้รักษาโดยตรง เพราะจะแตกต่างกันมากในผู้ป่วยแต่ละราย จากอายุและปัญหาสุภาพของผู้ป่วย ซึ่งคำถามที่สำคัญที่ลูก หลานควรถามแพทย์เพื่อให้เข้าใจ เพื่อการดูแลผู้ป่วยได้อย่างเหมาะสม เช่น
1. จับพลิกตะแคงได้ไหม ควรทำบ่อยแค่ไหน
2. จับขึ้นมานั่งได้ไหม ควรทำบ่อยแค่ไหน
3. จับขึ้นมายืนได้ไหม ควรทำบ่อยแค่ไหน
4. พยุงเดินได้ไหม ควรทำบ่อยแค่ไหน
5. เดินเองด้วยเครื่องพยุงตัวสี่ขา (Walker) ได้หรือยัง ควรทำบ่อยแค่ไหน
6. ลงน้ำหนักขาข้างที่หักได้ไหม เมื่อไร และ
7. อื่นๆ ที่ผู้ป่วยและญาติกังวล
อนึ่ง ควรพบแพทย์ก่อนนัด เมื่อ
- ผู้ป่วยมีอาการผิดไปจากเดิม
- ปวดสะโพกด้านหักมากขึ้น
- ปวดขาด้านหักมากขึ้น
- ขาด้านหักบวม หรือมีลักษณะอักเสบ (เช่น บวม แดง ปวด มีหนองจากแผลผ่าตัด)
- มีไข้
- มีปัญหาทางการขับถ่าย
- มีแผลกดทับ
- และ/หรือ เมื่อผู้ป่วย/ญาติกังวลในอาการ
กระดูกสะโพกหักมีการพยากรณ์โรคและผลข้างเคียงอย่างไร?
กระดูกสะโพกหัก สร้างความเจ็บปวดทุกข์ทรมานและเป็นเหตุให้พิการได้ จัดเป็นกระดูก หักที่รุนแรง เป็นสาเหตุให้ผู้ป่วยไม่สามารถเคลื่อนไหว นั่ง ยืน เดิน นำมาซึ่งโรคแทรกซ้อนนา นาประการและอาจเสียชีวิตในที่สุดได้
ผลข้างเคียงที่พบได้เสมอจากกระดูกสะโพกหัก คือ
- การขาดคุณภาพชีวิต จากการเดินไม่ ได้ ช่วยตัวเองได้น้อย ต้องได้รับการช่วยเหลือดูแลจากผู้อื่น
- มักเกิดแผลกดทับโดยเฉพาะบริ เวณก้นและสะโพก
- และมักมีการติดเชื้อจากการที่ร่างกายไม่ได้เคลื่อนไหวหรือเคลื่อนไหวได้น้อย โดยเฉพาะ
- โรคติดเชื้อระบบทางเดินหายใจ (เช่น ปอดบวม)
- และ โรคติดเชื้อระบบทางเดินปัสสาวะ
ป้องกันกระดูกสะโพกหักได้อย่างไร?
การป้องกันกระดูกสะโพกหักที่สำคัญที่สุดคือ การป้องกันโรคกระดูกพรุน โรคกระดูกบาง ที่เป็นสาเหตุสำคัญที่ทำให้กระดูกหัก (อ่านเพิ่มเติมเรื่อง โรคกระดูกพรุน กระดูกบาง เพื่อการ เข้าใจ โรค การป้องกัน และการดูแลตนเองได้จากเว็บ haamor.com ในบทความเรื่อง โรคกระ ดูกพรุน โรคกระดูกบาง) และเมื่อเป็นผู้สูงอายุ การดูแล ป้องกันกระดูกสะโพกหักเพิ่มเติม คือ
1. ทำบ้านให้ปลอดภัยต่อผู้สูงอายุ ไม่ให้มี หมา หรือ แมวภายในบ้านหรือบริเวณบ้านเพราะจะเป็นสาเหตุให้สะดุดล้มได้ง่าย
2. ทำบ้านให้แห้ง ไม่มีส่วนลื่น
3. ทำบ้านไม่ให้มีพรมเช็ดเท้า สิ่งกีดขวาง
4. ห้องน้ำ ควรต้องแยกส่วนแห้ง ส่วนเปียก ส่วนเปียกต้องไม่ลื่น นั่งอาบได้ดีที่สุด มีราวจับเกาะเวลาลุกขึ้น
สรุป
ผู้สูงอายุทุกคนจะมีกระดูกบางลงหรือกระดูกพรุนตามวัย มากน้อยต่างกันก็เพียงเล็กน้อย เมื่อล้ม กระดูกก็มักจะหัก แม้ไม่ได้ล้มแรง มีอยู่สี่แห่งที่กระดูกมักจะบางมากๆ จนล้มทีไรจะหักทุกที คือที่กระดูกสะโพก กระดูกสันหลัง กระดูกข้อมือ และกระดูกหัวไหล่
กระดูกหัก สร้างความเจ็บปวดทุกข์ทรมานและเป็นเหตุให้พิการได้ แต่สำหรับกระดูกหักที่สะ โพก มักทำให้ผู้ป่วยไม่สามารถเคลื่อนไหว นั่ง ยืน เดิน นำมาซึ่งโรคแทรกซ้อนนานาประการและอาจเสียชีวิตในที่สุดได้ ผมขอฝากข้อคิดสำหรับลูกหลานไว้ที่นี้ว่า
1. ทำบ้านให้ปลอดภัยต่อผู้สูงอายุ ไม่ให้มีหมาหรือแมวภายในบ้านหรือบริเวณบ้าน
2. ทำบ้านให้แห้ง ไม่มีส่วนลื่น
3. ทำบ้านไม่ให้มีพรมเช็ดเท้า หรือสิ่งกีดขวาง
4. ห้องน้ำ แยกส่วนแห้ง ส่วนเปียก ส่วนเปียกต้องไม่ลื่น นั่งอาบได้ดีที่สุด มีราวจับเกาะเวลาลุกขึ้น
5. ข้อนี้โปรดพิจารณาให้ดีว่า จะยอมอนุญาตให้แพทย์ผ่าตัดดีหรือไม่ เพราะการผ่าตัดมีความเสี่ยงสูง เนื่องจากผู้ป่วยมักจะมีหลายโรค ทั้ง โรคหัวใจ โรคตับ โรคไต โรคเบา หวาน โรคความดันโลหิตสูง ทำให้แพทย์ไม่กล้าผ่าตัด เมื่อไม่กล้าผ่าตัดเพราะญาติยอม รับความเสี่ยงไม่ได้ ผู้สูงอายุที่มีกระดูกสะโพกหัก ก็จะเจ็บปวดทุกข์ทรมานมาก โปรดคุยปรึกษาหารือกับแพทย์ผู้ให้การรักษาให้ถี่ถ้วน และรีบตัดสินใจเสมอ


