กระดูกสะโพกหักในผู้สูงอายุ (Hip fracture in senile) - Update

สารบัญ

  • เกริ่นนำ
  • อาการและอาการแสดง
    • ภาวะแทรกซ้อน
    • ทางการแพทย์
  • ปัจจัยเสี่ยง
  • กลไกการเกิด
    • กายวิภาคของการทำงาน
    • ชีวกลศาสตร์
    • ปัจจัยทางระบบประสาท
  • การวินิจฉัย
    • การตรวจร่างกาย
    • Iการตรวจภาพทางการแพทย์
    • ประเภทของกระดูกสะโพกหัก
  • การป้องกัน
  • การรักษา
    • กระดูกหักภายในข้อสะโพก
    • กระดูกหักบริเวณปุ่มกระดูกต้นขา
    • กระดูกหักใต้ปุ่มกระดูกต้นขา
    • การฟื้นฟูสมรรถภาพ
    • การเสริมโภชนาการ
    • ภาวะแทรกซ้อนจากการผ่าตัด
  • การพยากรณ์โรค
    • หลังการผ่าตัด
  • ระบาดวิทยา
    • ประชากร
    • ปัจจัยด้านอายุ

เกริ่นนำ (Introduction)

กระดูกสะโพกหัก คือการแตกหักที่เกิดขึ้นบริเวณส่วนบนของกระดูกต้นขา (Femur) โดยเฉพาะที่คอของกระดูกต้นขา (Femoral neck) หรือในบางกรณีที่พบได้น้อย ที่หัวกระดูกต้นขา (Femoral head)  อาการได้แก่เจ็บปวดรอบสะโพก โดยเฉพาะเมื่อมีการเคลื่อนไหว และอาจมีภาวะขาสั้นลงกว่าปกติ ผู้ที่มีอาการนี้มักไม่สามารถเดินได้ 

กระดูกสะโพกหักส่วนใหญ่มักเป็นคอกระดูกต้นขาหัก โดยทั่วไปเกิดขึ้นจากการล้ม (ส่วนกระดูกหัวต้นขาหัก เป็นประเภทที่พบได้น้อย อาจเกิดจากการล้มเช่นกัน แต่โดยทั่วไปมักเกิดจากอุบัติเหตุที่รุนแรงกว่า เช่น อุบัติเหตุทางรถยนต์) ปัจจัยเสี่ยง ได้แก่ โรคกระดูกพรุน, การใช้ยาหลายชนิด, การดื่มแอลกอฮอล์ และมะเร็งแพร่กระจาย  การวินิจฉัยส่วนใหญ่ทำโดย เอกซเรย์ (X-ray) แต่ในบางกรณี อาจต้องใช้การตรวจด้วยคลื่นแม่เหล็กไฟฟ้า (MRI), เอกซเรย์คอมพิวเตอร์ (CT scan) หรือการตรวจสแกนกระดูก (Bone scan) เพื่อช่วยยืนยันการวินิจฉัย 

การจัดการความเจ็บปวดอาจใช้ยาโอปิออยด์ หรือการบล็อกเส้นประสาท  หากสุขภาพของผู้ป่วยเอื้ออำนวย แนะนำให้ผ่าตัดภายในสองวัน  ทางเลือกในการผ่าตัดอาจรวมถึงการเปลี่ยนข้อสะโพกทั้งหมด หรือการตรึงกระดูกหักด้วยสกรู หลังการผ่าตัดแนะนำให้ป้องกันการเกิดลิ่มเลือดอุดตันร่วมด้วย

ประมาณ 15% ของผู้หญิงจะมีกระดูกสะโพกหักในช่วงใดช่วงหนึ่งของชีวิต และพบว่าผู้หญิงมีแนวโน้มเป็นมากกว่าผู้ชาย  อัตราการเกิดกระดูกสะโพกหักเพิ่มขึ้นตามอายุ  ความเสี่ยงในการเสียชีวิตภายในหนึ่งปีหลังเกิดกระดูกสะโพกหักอยู่ที่ประมาณ 20% ในผู้สูงอายุ

อาการและอาการแสดง (Signs and symptoms)

ลักษณะทางคลินิกที่พบบ่อยของกระดูกสะโพกหัก คือ ผู้สูงอายุที่ได้รับบาดเจ็บจากการล้มที่ไม่รุนแรงมาก และมีอาการปวดบริเวณขาหนีบ รวมถึงไม่สามารถลงน้ำหนักเพื่อเดินได้  อาการปวดอาจร้าวไปที่บริเวณหัวเข่าเหนือข้อเข่า (supracondylar knee) เมื่อตรวจร่างกายพบว่าขาข้างที่ได้รับบาดเจ็บมักสั้นลง และมีการหมุนออกด้านนอกเมื่อเปรียบเทียบกับขาข้างที่ปกติ 

  • ภาวะแทรกซ้อน (Complications)
    • ภาวะที่กระดูกไม่ติดกัน (Nonunion) พบได้บ่อยในกรณีกระดูกคอต้นขาหัก แต่พบได้น้อยมากในประเภทอื่นของกระดูกสะโพกหัก
    • ภาวะกระดูกหัวต้นขาตายจากการขาดเลือด (Avascular necrosis) พบได้บ่อย (ประมาณ 20%) ในกรณี กระดูกสะโพกหักภายในข้อ (Intracapsular hip fractures) เนื่องจากมีการขาดเลือดไปเลี้ยงบริเวณกระดูก

ภาวะกระดูกติดผิดรูป (Malunion) เป็นภาวะที่กระดูกหักสมานตัวในตำแหน่งที่ผิดปกติ ซึ่งพบได้บ่อยมาก กล้ามเนื้อต้นขามีแนวโน้มที่จะดึงกระดูกที่แตกออกจากกัน ทำให้เกิดการเหลื่อมกันและเชื่อมต่อผิดตำแหน่ง ผลกระทบที่อาจเกิดขึ้น ได้แก่ ขาสั้นลง, ความผิดรูปแบบ varus (ขาโก่งเข้าด้านใน), ความผิดรูปแบบ valgus (ขาโก่งออกด้านนอก) และการผิดรูปแบบการหมุน (Rotational malunion)  ภาวะเหล่านี้มักเกิดขึ้นเนื่องจากกระดูกหักอาจไม่มั่นคงและอาจทรุดลงก่อนที่จะสมานตัว  อย่างไรก็ตาม สำหรับผู้ป่วยที่มีข้อจำกัดด้านเคลื่อนไหว ปัญหานี้อาจไม่ได้ส่งผลกระทบมากนัก 

กระดูกสะโพกหัก มักไม่ค่อยทำให้เกิดการบาดเจ็บทางระบบประสาท หรือหลอดเลือด 

  • ทางการแพทย์ (Medical)

หลายคนมีปัญหาสุขภาพก่อนเกิดกระดูกสะโพกหัก โดยเฉพาะในผู้สูงอายุ ซึ่งมักเกิดจากการล้มที่เกี่ยวข้องกับโรคหรือภาวะเจ็บป่วยต่าง ๆ  อย่างไรก็ตาม ความเครียดจากการบาดเจ็บและการผ่าตัดที่อาจเกิดขึ้น สามารถเพิ่มความเสี่ยงของโรคทางการแพทย์ เช่น หัวใจวาย, โรคหลอดเลือดสมอง (Stroke) และการติดเชื้อที่ปอด 

ผู้ป่วยที่มีกระดูกสะโพกหักมีความเสี่ยงสูงต่อการเกิดลิ่มเลือดอุดตัน (Thromboembolism) ซึ่งเป็นภาวะที่ลิ่มเลือดหลุดออกและไหลไปตามกระแสเลือด  ลิ่มเลือดดำส่วนลึก (Deep venous thrombosis - DVT) เป็นภาวะที่เลือดในหลอดเลือดดำที่ขาเกิดการแข็งตัว ส่งผลให้เกิดอาการปวดและบวม ซึ่งพบได้บ่อยหลังจากกระดูกสะโพกหัก เนื่องจากการไหลเวียนของเลือดชะลอตัวและภาวะเลือดมีแนวโน้มแข็งตัวง่ายขึ้นเพื่อตอบสนองต่อการบาดเจ็บ โดยบางครั้งลิ่มเลือดดำส่วนลึก (DVT) สามารถเกิดขึ้นได้โดยไม่แสดงอาการ  ลิ่มเลือดอุดตันที่ปอด (Pulmonary embolism - PE) เกิดขึ้นเมื่อก้อนลิ่มเลือดจากลิ่มเลือดดำส่วนลึก (DVT) หลุดออกจากหลอดเลือดดำที่ขาและไหลไปยังปอด ทำให้การไหลเวียนของเลือดไปยังบางส่วนของปอดถูกตัดขาด ซึ่งเป็นภาวะที่อันตรายอย่างมาก โดยมีอัตราการเกิดลิ่มเลือดอุดตันที่ปอด (PE) ที่รุนแรงจนเสียชีวิตอยู่ที่ประมาณ 2% หลังจากกระดูกสะโพกหัก และอาจเป็นปัจจัยที่ส่งผลต่อภาวะเจ็บป่วยและการเสียชีวิตในกรณีอื่น ๆ อีกด้วย 

ภาวะสับสนทางจิตพบได้บ่อยมากหลังจากเกิดกระดูกสะโพกหัก โดยปกติแล้วอาการจะหายไปเอง แต่ประสบการณ์ที่ไม่คุ้นเคย เช่น ความเจ็บปวด การเคลื่อนไหวที่จำกัด การสูญเสียความเป็นอิสระ การต้องย้ายไปยังสถานที่แปลกใหม่ การผ่าตัด และการใช้ยา ล้วนเป็นปัจจัยที่ทำให้เกิดภาวะเพ้อ (Delirium) หรือทำให้อาการของภาวะสมองเสื่อมที่มีอยู่เดิมรุนแรงขึ้น 

การติดเชื้อทางเดินปัสสาวะ (Urinary tract infection - UTI) อาจเกิดขึ้นได้ ผู้ป่วยมักต้องอยู่บนเตียงเป็นเวลาหลายวันโดยไม่สามารถเคลื่อนไหวได้ และมักได้รับการสวนปัสสาวะ (Catheterization) ซึ่งเป็นสาเหตุที่พบบ่อยของการติดเชื้อ 

การเคลื่อนไหวที่จำกัดเป็นเวลานานและความยากลำบากในการเคลื่อนไหวทำให้ยากต่อการหลีกเลี่ยงแผลกดทับ (Pressure sores) ที่บริเวณกระเบนเหน็บ (Sacrum) และส้นเท้าของผู้ป่วยที่มีกระดูกสะโพกหัก แนวทางป้องกัน:

    • ควรส่งเสริมให้ผู้ป่วยสามารถเคลื่อนไหวได้เร็วที่สุดเท่าที่จะเป็นไปได้
    • ในกรณีที่การเคลื่อนไหวยังไม่สามารถทำได้ ควรใช้ที่นอนสลับแรงดัน (Alternating pressure mattresses) เพื่อลดความเสี่ยงของการเกิดแผลกดทับ

ปัจจัยเสี่ยง (Risk factors)

กระดูกสะโพกหักที่เกิดขึ้นหลังจากการหกล้มมักเป็นกระดูกหักจากพยาธิสภาพ (Pathological fracture) ซึ่งหมายถึงการแตกหักที่เกิดขึ้นจากความผิดปกติของกระดูกเดิม โดยสาเหตุที่พบได้บ่อยของภาวะกระดูกอ่อนแอ ได้แก่:

  • โรคกระดูกพรุน (Osteoporosis)
  • โรคกระดูกจากความผิดปกติของกระบวนการเมตาบอลิซึม เช่น โรคพาเจ็ตของกระดูก (Paget’s disease), โรคกระดูกอ่อน (Osteomalacia), โรคกระดูกหนาแน่นผิดปกติ (Osteopetrosis) และภาวะกระดูกเปราะแต่กำเนิด (Osteogenesis imperfecta) ซึ่งอาจทำให้เกิดภาวะกระดูกร้าวจากแรงกดดัน (Stress fractures) ที่บริเวณสะโพก
  • ระดับโฮโมซิสเทอีนสูง (Elevated homocysteine levels) ซึ่งเป็นกรดอะมิโนที่มีพิษตามธรรมชาติ
  • เนื้องอกของกระดูก ทั้งชนิดที่เป็นมะเร็งและไม่ใช่มะเร็ง (Benign or malignant primary bone tumors) ซึ่งพบได้น้อย
  • มะเร็งที่แพร่กระจายไปยังกระดูกต้นขาส่วนต้น ซึ่งทำให้กระดูกอ่อนแอและเกิดกระดูกสะโพกหักจากพยาธิสภาพได้
  • การติดเชื้อในกระดูก ซึ่งเป็นสาเหตุที่พบได้น้อย
  • การสูบบุหรี่ ซึ่งมีความสัมพันธ์กับโรคกระดูกพรุน

กลไกการเกิด (Mechanism)

  • กายวิภาคการทำงานของข้อสะโพก (Functional anatomy)

ข้อสะโพกเป็นข้อต่อชนิดลูกบอลและเบ้า (Ball-and-socket joint) โดยกระดูกต้นขา (Femur) เชื่อมต่อกับเบ้าสะโพก (Acetabulum) ของกระดูกเชิงกราน และยื่นออกด้านข้างก่อนเอียงเข้าด้านในและลงล่างเพื่อเชื่อมกับหัวเข่า  แม้ว่าข้อสะโพกจะมีอิสระในการเคลื่อนไหวถึงสามทิศทาง (Degrees of freedom) แต่ยังคงมีความมั่นคงเนื่องจากการทำงานร่วมกันของเส้นเอ็น (Ligaments) และกระดูกอ่อน (Cartilage) 

    • กระดูกอ่อนลาบรัม (Labrum): โครงสร้างที่อยู่รอบขอบของเบ้าสะโพก ช่วยเพิ่มความมั่นคงและดูดซับแรงกระแทก
    • กระดูกอ่อนข้อต่อ (Articular cartilage): คลุมพื้นที่เว้าในเบ้าสะโพก เพื่อเพิ่มความมั่นคงและลดแรงกระแทก

รอบ ๆ ข้อสะโพกมี แคปซูลข้อต่อ (Joint capsule) ซึ่งได้รับการยึดด้วยเส้นเอ็นและกล้ามเนื้อ 

    • เส้นเอ็นกล้ามเนื้อโซอาส (Tendon of the psoas muscle) ช่วยเสริมความมั่นคง
    • เส้นเอ็นสามเส้นที่ค้ำจุนข้อสะโพก
    • เอ็นอิลิโอฟีมอรัล (Iliofemoral หรือ Y ligament): อยู่ด้านหน้า ทำหน้าที่ป้องกันการเหยียดข้อสะโพกมากเกินไป
    • เอ็นพิวโบฟีมอรัล (Pubofemoral ligament): อยู่ด้านหน้าต่ำกว่าตำแหน่งของเอ็นอิลิโอฟีมอรัล (Iliofemoral ligament) ทำหน้าที่ต้านการกางออก, การเหยียด และการหมุนออกบางส่วน
    • เอ็นอิสชิโอฟีมอรัล (Ischiofemoral ligament): อยู่ด้านหลังของแคปซูลข้อต่อ ต้านการเหยียด, การหุบ และการหมุนเข้าด้านใน

เมื่อต้องพิจารณาชีวกลศาสตร์ของกระดูกสะโพกหัก (Hip fractures) สิ่งสำคัญคือต้องศึกษาภาระทางกลที่ข้อสะโพกได้รับ โดยเฉพาะจากการหกล้มที่เกิดขึ้นจากแรงต่ำ 

  • ชีวกลศาสตร์ (Biomechanics)

ข้อต่อสะโพกมีลักษณะเฉพาะที่ต้องรับแรงทางกลหลายรูปแบบพร้อมกัน แรงตามแนวแกนที่ส่งผ่านกระดูกต้นขาทำให้เกิดความเค้นอัด (Compressive stress) ส่วนแรงดัดที่คอของกระดูกต้นขาทำให้เกิดความเค้นดึง (Tensile stress) บริเวณด้านบนของคอ และความเค้นอัดบริเวณด้านล่างของคอ 

แม้ว่าโรคข้อเข่าเสื่อมและโรคกระดูกพรุนจะเกี่ยวข้องกับการเกิดกระดูกหักเมื่ออายุมากขึ้น แต่โรคเหล่านี้ไม่ใช่สาเหตุเดียวของกระดูกหัก การพลัดตกจากที่ยืนด้วยพลังงานต่ำเป็นสาเหตุหลักของกระดูกหักในผู้สูงอายุ อย่างไรก็ตาม ทิศทางของการล้มก็เป็นปัจจัยสำคัญเช่นกัน 

ผู้สูงอายุมีแนวโน้มที่จะล้มไปด้านข้างมากกว่าด้านหน้า และสะโพกด้านข้างจะกระแทกพื้นก่อน ในกรณีที่ล้มไปด้านข้าง โอกาสเกิดกระดูกสะโพกหักจะเพิ่มขึ้น 15 เท่าในผู้ชายสูงอายุ และ 12 เท่าในผู้หญิงสูงอายุ

  • ปัจจัยทางระบบประสาท (Neurological factors)

ผู้สูงอายุมีความเสี่ยงต่อการเกิดกระดูกสะโพกหักเนื่องจากหลายปัจจัยที่ส่งผลต่อการรับรู้ตำแหน่งของร่างกาย (proprioception) และความสมดุล เช่น การใช้ยา อาการเวียนศีรษะ โรคหลอดเลือดสมอง และโรคเส้นประสาทส่วนปลาย

การวินิจฉัย (Diagnosis)

  • การตรวจร่างกาย (Physical examination)

ภาวะกระดูกหักที่บริเวณปุ่มกระดูกต้นขา (trochanter) หรือคอกระดูกต้นขาซึ่งมีการเคลื่อนผิดตำแหน่ง (Displaced fracture) มักทำให้ขามีการหมุนออกด้านนอกและสั้นลงเมื่อผู้ป่วยนอนหงาย 

  • การตรวจภาพทางรังสี (Imaging)

โดยทั่วไป ภาพเอกซเรย์ของสะโพกจะถูกถ่ายจากด้านหน้า (AP view) และด้านข้าง (Lateral view) แต่ควรหลีกเลี่ยงท่ากบ (Frog leg view) เนื่องจากอาจทำให้เกิดอาการปวดรุนแรงและทำให้กระดูกหักเคลื่อนมากขึ้น 

ในกรณีที่สงสัยว่ามีภาวะกระดูกสะโพกหัก แต่ไม่สามารถระบุได้ชัดเจนจากภาพเอกซเรย์ การตรวจด้วยคลื่นแม่เหล็กไฟฟ้า (MRI) เป็นทางเลือกที่ดีที่สุด หากไม่มีการตรวจด้วยคลื่นแม่เหล็กไฟฟ้า (MRI) หรือผู้ป่วยไม่สามารถเข้าเครื่องตรวจได้ อาจใช้เอกซเรย์คอมพิวเตอร์ (CT) เป็นตัวทดแทนได้ อย่างไรก็ตามการตรวจด้วยคลื่นแม่เหล็กไฟฟ้า (MRI) มีความไวสูงกว่าการตรวจด้วยเอกซเรย์คอมพิวเตอร์ (CT) ในการตรวจหากระดูกหักที่ไม่สามารถเห็นได้ทางเอกซเรย์ 

การสแกนกระดูก (Bone scan) เป็นอีกทางเลือกที่มีประโยชน์ แต่มีข้อเสียสำคัญ เช่น ความไวต่ำลง ผลลบลวงในช่วงแรก และการตรวจพบที่ลดลงเนื่องจากการเปลี่ยนแปลงของกระบวนการเผาผลาญในผู้สูงอายุ

กรณีตัวอย่างที่แสดงลำดับการตรวจภาพในกรณีที่มีการค้นพบที่ไม่ชัดเจนในเบื้องต้น

เนื่องจากผู้ป่วยส่วนใหญ่มักต้องได้รับการผ่าตัด จึงจำเป็นต้องมีการตรวจสอบทั่วไปก่อนการผ่าตัดอย่างครบถ้วน ซึ่งโดยปกติจะรวมถึงการตรวจเลือด, การตรวจคลื่นไฟฟ้าหัวใจ (ECG) และเอกซเรย์ทรวงอก 

  • ประเภท (Types)

การจำแนกประเภทของกระดูกสะโพกหัก

โดยทั่วไป การเอกซเรย์สะโพกที่ได้รับผลกระทบสามารถให้การวินิจฉัยได้อย่างชัดเจน ควรทำการถ่ายภาพเอกซเรย์ในมุมมองด้านหน้า-หลัง (AP view) และด้านข้าง (Lateral view)

กระดูกหักบริเวณปุ่มกระดูกต้นขา (Trochanteric fractures) สามารถแบ่งออกเป็นกระดูกหักระหว่างปุ่มใหญ่และปุ่มเล็ก (Intertrochanteric) (อยู่ระหว่างปุ่มกระดูกต้นขาขนาดใหญ่และขนาดเล็ก) หรือกระดูกหักบริเวณปุ่มใหญ่ของต้นขา (Pertrochanteric) (ผ่านตัวปุ่มกระดูกต้นขา) ตามการจำแนกประเภทของ Müller AO ในทางปฏิบัติความแตกต่างระหว่างสองประเภทนี้ค่อนข้างเล็กน้อยและมักใช้คำศัพท์แทนกันได้

ภาวะกระดูกหักที่ปุ่มกระดูกต้นขาแบบแยกเดี่ยว (Isolated trochanteric fracture) เกิดขึ้นที่ปุ่มกระดูกต้นขาเพียงตำแหน่งเดียว โดยไม่ผ่านแกนกายวิภาคของกระดูกต้นขา ซึ่งอาจเกิดในคนอายุน้อยจากแรงหดตัวของกล้ามเนื้อที่รุนแรง  อย่างไรก็ตาม ภาวะนี้อาจไม่ถือเป็นกระดูกสะโพกหักอย่างแท้จริง เนื่องจากไม่เป็นการหักแบบตัดขวาง

การป้องกัน (Prevention)

กระดูกสะโพกหักส่วนใหญ่มักเกิดจากการพลัดตก โดยเฉพาะในผู้สูงอายุ ดังนั้น การระบุสาเหตุของการพลัดตกและดำเนินมาตรการรักษาหรือปรับเปลี่ยนสิ่งแวดล้อมจึงเป็นกุญแจสำคัญในการลดการเกิดกระดูกสะโพกหัก มักพบว่ามีหลายปัจจัยที่ส่งผลต่อการล้ม ซึ่งรวมถึงปัจจัยด้านสิ่งแวดล้อมและปัจจัยทางการแพทย์ เช่น ภาวะความดันเลือดต่ำขณะเปลี่ยนท่า (postural hypotension) หรือโรคร่วมที่ทำให้เกิดความบกพร่องในการมองเห็นและการทรงตัว เช่น โรคหลอดเลือดสมอง (Stroke) หรือ โรคพาร์กินสัน (Parkinson's disease)  งานวิจัยล่าสุดพบว่ามีอัตราการเกิดโรคไขสันหลังคอเสื่อมจากกระดูกคอเสื่อมที่ไม่ได้รับการวินิจฉัย (Cervical spondylosis myelopathy - CSM) ในผู้ป่วยกระดูกสะโพกหักสูงกว่าที่คาดไว้ ซึ่งเป็นผลกระทบที่ยังไม่ได้มีการศึกษาจากโรคไขสันหลังคอเสื่อมจากกระดูกคอเสื่อม (CSM)

นอกจากนี้มีหลักฐานบางอย่างที่สนับสนุนระบบที่ออกแบบมาเพื่อให้การป้องกันในกรณีเกิดการพลัดตก เช่น อุปกรณ์ป้องกันสะโพก (Hip protectors) ซึ่งดูเหมือนว่าจะช่วยลดจำนวนกระดูกสะโพกหักในผู้สูงอายุ อย่างไรก็ตาม อุปกรณ์เหล่านี้มักไม่ได้รับการใช้งานอย่างแพร่หลาย

การรักษา (Management)

กระดูกสะโพกหักส่วนใหญ่ได้รับการรักษาด้วยการผ่าตัดโดยการฝังข้อสะโพกเทียม (Prosthesis) การรักษาด้วยการผ่าตัดมีข้อดีมากกว่าการรักษาแบบไม่ผ่าตัดซึ่งต้องนอนพักบนเตียงเป็นเวลานาน

การจำกัดการเคลื่อนไหวเป็นเวลานานเพิ่มความเสี่ยงของภาวะลิ่มเลือดอุดตัน (Thromboembolism), ปอดบวม (Pneumonia), ภาวะร่างกายอ่อนแอลง (Deconditioning) และแผลกดทับ (Decubitus ulcers) อย่างไรก็ตาม การผ่าตัดถือเป็นภาวะที่มีความเครียดต่อร่างกายสูงโดยเฉพาะในผู้สูงอายุ  อาการปวดก็เป็นปัจจัยสำคัญและสามารถนำไปสู่การเคลื่อนไหวที่ลดลงได้ ดังนั้นผู้ป่วยจึงได้รับการส่งเสริมให้กลับมาเคลื่อนไหวเร็วที่สุดเท่าที่จะเป็นไปได้ โดยมักได้รับความช่วยเหลือจากการทำกายภาพบำบัด การดึงกระดูก (Skeletal traction) ก่อนการผ่าตัดไม่มีหลักฐานสนับสนุน

การบล็อกเส้นประสาทบริเวณเฉพาะที่ (Regional nerve blocks) มีประโยชน์ในการจัดการอาการปวดในกรณีของกระดูกสะโพกหัก  การบล็อกเส้นประสาทส่วนปลาย (Peripheral nerve blocks) อาจช่วยลดอาการปวดขณะเคลื่อนไหว ลดภาวะสับสน (delirium), เร่งเวลาในการเริ่มเคลื่อนไหว และลดความเสี่ยงของการติดเชื้อทางเดินหายใจส่วนล่างหลังผ่าตัด

การผ่าตัดสามารถทำได้ภายใต้การดมยาสลบ (General anesthesia) หรือ เทคนิคทางประสาทแกนกลาง (Neuraxial techniques) เช่น การบล็อกหลัง (Spinal anesthesia) ซึ่งทางเลือกขึ้นอยู่กับปัจจัยของการผ่าตัดและผู้ป่วย โดยผลลัพธ์ที่เกี่ยวข้องกับอัตราการเสียชีวิตและภาวะแทรกซ้อนหลังการผ่าตัด เช่น ปอดบวม, หัวใจขาดเลือด (MI), โรคหลอดเลือดสมอง (Stroke) หรือภาวะสับสน (Delirium) ไม่ได้รับผลกระทบจากเทคนิคการให้ยาสลบ

การให้เม็ดเลือดแดงเป็นเรื่องปกติสำหรับผู้ที่เข้ารับการผ่าตัดกระดูกสะโพกหัก เนื่องจากการสูญเสียเลือดที่เกิดขึ้นระหว่างการผ่าตัดและจากการบาดเจ็บ  อย่างไรก็ตามประโยชน์ของการให้เลือดเมื่อระดับฮีโมโกลบินต่ำกว่า 10 g/dL เทียบกับต่ำกว่า 8 g/dL ยังไม่ชัดเจน  การรอจนกว่าระดับฮีโมโกลบินจะต่ำกว่า 8 g/dL หรือจนกว่าผู้ป่วยจะมีอาการ อาจเพิ่มความเสี่ยงของปัญหาหัวใจ  ในบางศูนย์มีการใช้ธาตุเหล็กทางหลอดเลือดดำ (Intravenous iron) เพื่อส่งเสริมการเพิ่มระดับฮีโมโกลบิน แต่ยังไม่มีข้อมูลที่แน่ชัดว่ามีผลต่อผลลัพธ์ที่มีความสำคัญต่อผู้ป่วยอย่างมีนัยสำคัญหรือไม่

หากผู้ป่วยปฏิเสธการรักษาด้วยการผ่าตัด หรือหากความเสี่ยงของการผ่าตัดสูงเกินไป การรักษาจะเน้นไปที่การบรรเทาอาการปวดเป็นหลัก  การดึงกระดูก (Skeletal traction) อาจได้รับการพิจารณาสำหรับการรักษาในระยะยาว 

ต้องมีการทำกายภาพบำบัดทรวงอกแบบเข้มข้น (Aggressive chest physiotherapy) เพื่อลดความเสี่ยงของโรคปอดบวม รวมถึงการฟื้นฟูและการดูแลพยาบาลที่มีทักษะเพื่อป้องกันแผลกดทับและภาวะลิ่มเลือดอุดตันในหลอดเลือดดำส่วนลึก (DVT) หรือภาวะลิ่มเลือดอุดตันในปอด (Pulmonary embolism) 

ผู้ป่วยส่วนใหญ่จะต้องนอนติดเตียงเป็นเวลาหลายเดือน การรักษาแบบไม่ผ่าตัดในปัจจุบันจำกัดอยู่เฉพาะผู้ป่วยที่มีความเสี่ยงในการผ่าตัดอย่างมาก, ผู้ป่วยที่มีภาวะสมองเสื่อมขั้นรุนแรง, หรือผู้ที่ไม่สามารถเดินได้ตั้งแต่ก่อนเกิดภาวะกระดูกสะโพกหัก และมีอาการปวดไม่มากระหว่างการเคลื่อนย้าย

การผ่าตัดที่ดำเนินการในวันเดียวกันหรือวันถัดจากการเกิดกระดูกหักถูกประมาณว่าช่วยลดอัตราการเสียชีวิตหลังการผ่าตัดในผู้ป่วยที่พร้อมรับการผ่าตัด

  • กระดูกหักภายในข้อ (Intracapsular fractures)

สำหรับกระดูกหักระดับต่ำ (ประเภท Garden 1 – กระดูกหักไม่สมบูรณ์แต่ยังมั่นคงและ Garden 2 – กระดูกหักสมบูรณ์แต่ไม่มีการเคลื่อนหลุด) วิธีรักษามาตรฐานคือการตรึงกระดูกในตำแหน่งเดิมโดยใช้สกรู หรืออุปกรณ์สกรู/แผ่นแบบเลื่อน (sliding screw/plate device) นอกจากนี้ วิธีรักษานี้ยังสามารถนำมาใช้กับกระดูกหักที่มีการเคลื่อนที่ เมื่อกระดูกได้รับการจัดให้อยู่ในตำแหน่งที่เหมาะสมแล้ว 

กระดูกหักที่รักษาด้วยการปรับแนวแบบปิด (Closed reduction fractures) อาจสามารถรักษาได้โดยใช้สกรูที่ใส่ผ่านผิวหนัง (Percutaneously inserted screws) 

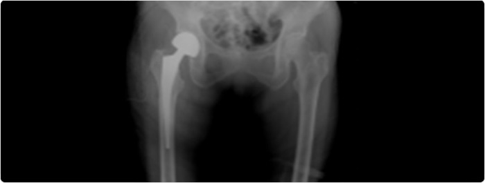
ในผู้สูงอายุที่มีภาวะกระดูกหักแบบเคลื่อนที่หรือภายในข้อ  ศัลยแพทย์อาจเลือกทำ “การผ่าตัดเปลี่ยนข้อสะโพกแบบบางส่วน โดยจะเปลี่ยนเฉพาะส่วน หัวกระดูกต้นขา (Femoral head) ด้วยกระดูกเทียมโลหะ แต่จะไม่เปลี่ยนส่วนเบ้ากระดูกสะโพก (Acetabulum)” หรือที่เรียกว่า Hemiarthroplasty โดยเปลี่ยนส่วนของกระดูกที่หักด้วยรากเทียมโลหะ อย่างไรก็ตาม สำหรับผู้สูงอายุที่มีสุขภาพแข็งแรงและยังคงมีการเคลื่อนไหวอย่างคล่องตัว การผ่าตัดเปลี่ยนข้อสะโพกทั้งหมด (Total hip replacement) อาจเป็นทางเลือกที่เหมาะสม ผู้สูงอายุที่สามารถเคลื่อนไหวได้อย่างอิสระและมีภาวะกระดูกสะโพกหักอาจได้รับประโยชน์จากการผ่าตัดเปลี่ยนข้อสะโพกทั้งหมดแทนการผ่าตัดเปลี่ยนข้อสะโพกแบบบางส่วน (Hemiarthroplasty) 

การใช้แรงดึง (Traction) ไม่แนะนำในกรAณีที่มีกระดูกคอต้นขาหัก เนื่องจากอาจส่งผลกระทบต่อการไหลเวียนของเลือดไปยังส่วนหัวของกระดูกต้นขา 

หลักฐานล่าสุดชี้ว่า อาจไม่มีความแตกต่างอย่างชัดเจนระหว่างสกรูและแผ่นตรึงมุมคงที่ (Fixed angle plates) ในฐานะอุปกรณ์ตรึงภายในสำหรับกระดูกสะโพกหักภายในข้อในผู้สูงอายุ  ผลการศึกษานี้อ้างอิงจากหลักฐานที่มีคุณภาพต่ำ ซึ่งยังไม่สามารถสรุปความแตกต่างที่ชัดเจนในด้านการทำงานของสะโพก คุณภาพชีวิต และความจำเป็นในการผ่าตัดเพิ่มเติม 

  • กระดูกหักบริเวณปุ่มกระดูกต้นขา (Trochanteric fracture)

กระดูกหักบริเวณปุ่มกระดูกต้นขา เป็นกระดูกหักที่เกิดต่ำกว่าบริเวณคอกระดูกต้นขา และมีโอกาสสูงที่จะหายดี 

ทั้งกระดูกหักระหว่างปุ่มใหญ่และปุ่มเล็ก (Intertrochanteric fractures) และกระดูกหักบริเวณปุ่มใหญ่ของต้นขา (Pertrochanteric fractures) สามารถรักษาได้โดยใช้สกรูสะโพกแบบไดนามิก (Dynamic hip screw) และแผ่นรองรับกระดูก (Plate) หรือแกนโลหะในโพรงกระดูก (Intramedullary rod). 

กระดูกหักมักใช้เวลาประมาณ 3–6 เดือนในการฟื้นตัว เนื่องจากพบได้บ่อยในผู้สูงอายุ จึงไม่แนะนำให้ถอดสกรูสะโพกแบบไดนามิ (Dynamic hip screw) เพื่อหลีกเลี่ยงความเสี่ยงจากการผ่าตัดครั้งที่สองและลดโอกาสเกิดกระดูกหักซ้ำหลังจากนำอุปกรณ์ออก. 

ภาวะกระดูกพรุน (Osteoporosis) เป็นสาเหตุหลักของกระดูกสะโพกหักในผู้สูงอายุ หากเป็นกรณีนี้ การรักษาภาวะกระดูกพรุนสามารถช่วยลดความเสี่ยงของกระดูกหักในอนาคตได้. 

โดยทั่วไป ผู้ป่วยที่อายุน้อย มักพิจารณาถอดอุปกรณ์ออก เนื่องจากอุปกรณ์ในกระดูกอาจทำหน้าที่เป็นจุดรับแรง (stress riser) ซึ่งเพิ่มความเสี่ยงต่อการแตกหักหากเกิดอุบัติเหตุซ้ำ. 

  • กระดูกหักใต้ปุ่มใหญ่ของต้นขา (Subtrochanteric fractures)

กระดูกหักใต้ปุ่มใหญ่ของต้นขาสามารถรักษาได้โดยใช้ แกนโลหะในโพรงกระดูก (Intramedullary nail) หรือ โครงสร้างสกรู-แผ่น (Screw-plate construction) และอาจต้องใช้แรงดึง (traction) ก่อนการผ่าตัด แม้ว่าวิธีนี้จะไม่ค่อยนิยม.  ยังไม่มีหลักฐานชัดเจนว่าการใช้แกนโลหะประเภทใดให้ผลลัพธ์ที่แตกต่างกันอย่างมีนัยสำคัญ. 

มีการกรีดด้านข้างเหนือบริเวณปุ่มใหญ่ของต้นขา (Trochanter) จากนั้นใช้ลวดเซอร์คลา (Cerclage wire) พันรอบบริเวณที่หักเพื่อช่วยปรับแนวกระดูก. เมื่อสามารถปรับแนวกระดูกได้แล้ว จะทำช่องนำร่อง (Guide canal) ผ่านเยื่อหุ้มกระดูกส่วนต้นและโพรงกระดูก เพื่อเตรียมสำหรับการใส่แกนโลหะ (nail). 

แกนโลหะจะถูกสอดผ่านช่องนำร่อง และยึดตรึงด้วยสกรูทั้งด้านต้นและด้านปลายของกระดูก. จากนั้น เอกซเรย์จะถูกใช้เพื่อตรวจสอบ ความถูกต้องของการปรับแนวกระดูกและตำแหน่งของแกนโลหะและสกรู. 

  • การฟื้นฟูสมรรถภาพ (Rehabilitation)

การฟื้นฟูสมรรถภาพ (Rehabilitation) มีบทบาทสำคัญในการเพิ่มความสามารถในการทำกิจวัตรประจำวัน พบว่าประมาณ 40% ของผู้ที่มีกระดูกสะโพกหัก ได้รับการวินิจฉัยว่าเป็น ภาวะสมองเสื่อม (Dementia) หรือภาวะบกพร่องทางสติปัญญาเล็กน้อย (Mild cognitive impairment) ซึ่งมักส่งผลให้ผลลัพธ์หลังการผ่าตัดไม่ดีนัก. 

ในกรณีดังกล่าว รูปแบบการฟื้นฟูสมรรถภาพและการดูแลที่ได้รับการปรับปรุง พบว่ามีผลเชิงบวกที่จำกัดในการลดภาวะสับสนเฉียบพลัน (Delirium) และลดระยะเวลาการรักษาในโรงพยาบาล. 

ยังไม่มีข้อมูลชัดเจนเกี่ยวกับ ผลของการใช้สเตียรอยด์ประเภทที่เลียนแบบฮอร์โมนเทสโทสเตอโรน (Anabolic steroids) ต่อกระบวนการฟื้นฟู. 

การทบทวนงานวิจัย Cochrane ฉบับปรับปรุง (2022) ที่ศึกษาผู้ป่วยกว่า 4,000 ราย พบว่าการฝึกเดิน (Gait training) การฝึกทรงตัว และการฝึกทำกิจกรรมเชิงหน้าที่ มีประสิทธิภาพสูงเมื่อเทียบกับการดูแลแบบดั้งเดิม.  นอกจากนี้ ยังมีหลักฐานที่บ่งชี้ว่า การฟื้นฟูสมรรถภาพหลังการผ่าตัดกระดูกสะโพก โดยทีมสหสาขาวิชาชีพและอยู่ภายใต้การดูแลของแพทย์เฉพาะทาง ช่วยลดโอกาสเกิดผลลัพธ์ที่ไม่พึงประสงค์ เช่น การเสียชีวิต หรือภาวะที่อยู่อาศัยแย่ลง. 

มีหลักฐานสนับสนุนว่าการเคลื่อนไหวเร็วหลังผ่าตัดเป็นประโยชน์. งานวิจัยในสหราชอาณาจักรที่ศึกษาข้อมูลของผู้ป่วยกว่า 135,000 รายที่เข้ารับการผ่าตัดกระดูกสะโพก พบว่าผู้ที่สามารถลุกจากเตียงได้ในวันผ่าตัดหรือวันถัดไป มีโอกาสออกจากโรงพยาบาลภายใน 30 วันมากกว่าถึงสองเท่า. 

  • การเสริมโภชนาการ (Nutrition supplementation)

การรับประทานอาหารเสริมที่ประกอบด้วย พลังงานที่ไม่ใช่โปรตีน, โปรตีน, วิตามิน และแร่ธาตุ ตั้งแต่ก่อนหรือช่วงแรกหลังการผ่าตัด อาจช่วยป้องกันภาวะแทรกซ้อนในปีแรกหลังเกิดภาวะกระดูกสะโพกหักในผู้สูงอายุ แต่ไม่มีผลชัดเจนต่ออัตราการเสียชีวิต. 

  • ภาวะแทรกซ้อนทางศัลยกรรม (Surgical complications)
    • การติดเชื้อแผลลึกหรือชั้นตื้น มีอัตราการเกิดประมาณ 2% และเป็นปัญหาร้ายแรง เนื่องจากการติดเชื้อที่ผิวอาจลุกลามเป็นการติดเชื้อในระดับลึก ซึ่งอาจส่งผลต่อกระดูกที่กำลังฟื้นตัวและปนเปื้อนอุปกรณ์รากเทียม.
    • การติดเชื้อในโลหะยึดดาม มีความยากในการกำจัด เนื่องจากเชื้อแบคทีเรียที่อยู่ในโลหะยึดดาม ไม่สามารถเข้าถึงโดยระบบภูมิคุ้มกันของร่างกายหรือยาปฏิชีวนะ. วิธีจัดการเบื้องต้นคือ ระบายหนองและให้ยาปฏิชีวนะเพื่อควบคุมการติดเชื้อจนกระดูกหายดี จากนั้นจึงนำโลหะยึดดาม ออกเพื่อให้การติดเชื้อหายไป.
    • การล้มเหลวของโลหะยึดดาม (Implant failure) อาจเกิดขึ้นได้ โดยสกรูและแผ่นโลหะอาจแตก, หลุดออก หรือเคลื่อนเข้าไปในข้อสะโพก ซึ่งอาจเกิดจากตำแหน่งการใส่อุปกรณ์ที่ไม่แม่นยำ หรือการตรึงที่ไม่สามารถยึดติดได้ดีในกระดูกที่อ่อนแอและเปราะบาง. ในกรณีที่เกิดความล้มเหลว การผ่าตัดอาจต้องทำใหม่ หรือเปลี่ยนเป็นการผ่าตัดเปลี่ยนข้อสะโพกทั้งหมด (Total hip replacement).
    • การจัดตำแหน่งผิดปกติ (Mal-positioning) อาจเกิดขึ้นได้ ซึ่งทำให้กระดูกหักฟื้นตัวในตำแหน่งที่ไม่ถูกต้อง โดยเฉพาะในลักษณะการหมุน. แม้ในบางกรณีอาจไม่ส่งผลกระทบมากนัก แต่ถ้าเกิดปัญหาสำคัญ อาจต้องทำการผ่าตัดแก้ไขกระดูก (osteotomy surgery) เพื่อปรับตำแหน่งให้ถูกต้อง.

การพยากรณ์โรค (Prognosis)

ภาวะกระดูกสะโพกหัก เป็นเหตุการณ์ที่มีอันตรายสูง โดยเฉพาะในผู้สูงอายุและผู้ที่ร่างกายอ่อนแอ. ความเสี่ยงต่อการเสียชีวิตจากผลกระทบของการผ่าตัดและการบาดเจ็บในช่วง 30 วันแรกอยู่ที่ประมาณ 7% และ อาจเพิ่มขึ้นถึง 30% ภายในหนึ่งปีหลังเกิดภาวะกระดูกหัก. 

หากไม่ได้รับการรักษา อาการเจ็บปวดและการเคลื่อนไหวที่จำกัดจะเพิ่มความเสี่ยงต่อการเสียชีวิต. ปัญหาต่าง ๆ เช่น แผลกดทับ (Pressure sores) และการติดเชื้อในปอด (Chest infections) มีแนวโน้มเพิ่มขึ้นจากภาวะขาดการเคลื่อนไหว. การพยากรณ์โรคของผู้ที่ไม่ได้รับการรักษานั้นค่อนข้างแย่. 

อย่างไรก็ตาม ผู้ป่วยส่วนใหญ่มักมีความเสี่ยงต่ำต่อการเสียชีวิตในระยะเริ่มต้น เนื่องจากอัตราการเสียชีวิตมักกระจุกตัวอยู่ในกลุ่มที่มีความเสี่ยงสูงกว่าแต่มีจำนวนผู้ป่วยน้อยกว่า. 

มีเครื่องมือช่วยประเมินความเสี่ยง เช่น Nottingham Hip Fracture Score (เครื่องมือที่ใช้ในการประเมินความเสี่ยงต่อการเสียชีวิตภายใน 30 วัน หลังจากการผ่าตัดรักษากระดูกสะโพกหัก) ซึ่งสามารถใช้ประมาณการความเสี่ยงโดยอิงจากปัจจัยที่ทราบกันดีว่าเพิ่มความเสี่ยง ได้แก่ 

    • อายุที่มากขึ้น,
    • ภาวะสมองเสื่อม (Dementia) หรือภาวะสับสนเฉียบพลัน (Delirium) ขณะเข้ารับการรักษา,
    • ภาวะโลหิตจาง (Anemia) ขณะเข้ารับการรักษา,
    • โรคร่วม (Co-morbidities),
    • ไม่ได้อาศัยอยู่ที่บ้านก่อนเกิดกระดูกหัก,
    • มีประวัติการวินิจฉัยโรคมะเร็งก่อนหน้านี้.
  • หลังการผ่าตัด (Post operation)

ในผู้ที่ได้รับผลกระทบและมีอายุมากกว่า 65 ปี 

    • 40% ถูกส่งต่อไปยังสถานดูแลระยะยาว, สถานฟื้นฟูสมรรถภาพระยะยาว หรือบ้านพักคนชรา, โดยผู้ป่วยส่วนใหญ่ต้องการความช่วยเหลือในการดำรงชีวิตจากครอบครัวหรือผู้ดูแลที่บ้าน.
    • 50% ต้องใช้อุปกรณ์ช่วยเดินอย่างถาวร เช่น วอล์กเกอร์, ไม้เท้า, หรือไม้ค้ำยัน เพื่อช่วยในการเคลื่อนไหว และทุกคนต้องได้รับการช่วยเหลือด้านการเคลื่อนไหวตลอดระยะเวลาการฟื้นฟู.
    • การฟื้นฟูความสามารถในการเดินและทำกิจวัตรประจำวัน ส่วนใหญ่เกิดขึ้นภายใน 6 เดือนหลังจากกระดูกหัก.

โดยทั่วไป ประมาณครึ่งหนึ่งของผู้สูงอายุสามารถฟื้นฟูระดับการเคลื่อนไหวและความสามารถในการทำกิจกรรมก่อนเกิดกระดูกหัก,  ขณะที่ 40–70% สามารถกลับมาเป็นอิสระในการทำกิจกรรมขั้นพื้นฐานของชีวิตประจำวันได้. 

ในผู้ที่ได้รับผลกระทบและมีอายุมากกว่า 50 ปี 

ประมาณ 25% เสียชีวิตภายในหนึ่งปีหลังจากเกิดกระดูกหัก โดยมีสาเหตุมาจากภาวะแทรกซ้อน เช่น 

    • ลิ่มเลือด (Blood clots) ซึ่งรวมถึง ภาวะลิ่มเลือดในเส้นเลือดดำลึกที่ขา (Deep venous thrombosis, DVT) และภาวะลิ่มเลือดอุดตันในปอด (Pulmonary embolism, PE)
    • การติดเชื้อ (Infections)
    • โรคปอดบวม (Pneumonia)

ผู้ป่วยที่มีกระดูกสะโพกหักมีความเสี่ยงสูงต่อการเกิดกระดูกหักซ้ำในอนาคต ซึ่งอาจรวมถึง กระดูกสะโพก, ข้อมือ, ไหล่ และกระดูกสันหลัง.  หลังจากรักษากระดูกหักเฉียบพลันแล้ว ควรมีการพิจารณาการป้องกันกระดูกหักในอนาคต. ปัจจุบันมีข้อมูลระบุว่า มีเพียง 1 ใน 4 ของผู้ป่วยหลังเกิดภาวะกระดูกสะโพกหักที่ได้รับการตรวจและรักษาภาวะกระดูกพรุน, ซึ่งเป็นสาเหตุหลักของกระดูกหักส่วนใหญ่.  แนวทางการรักษาในปัจจุบันมักเริ่มต้นด้วย Bisphosphonate (กลุ่มยาที่ใช้ ป้องกันการสูญเสียมวลกระดูก และรักษาภาวะต่าง ๆ เช่น โรคกระดูกพรุน (Osteoporosis) และมะเร็งกระดูก), ซึ่งสามารถลดความเสี่ยงของกระดูกหักในอนาคตได้สูงถึง 50%. 

ระบาดวิทยา (Epidemiology)

กระดูกสะโพกหักพบได้ทั่วโลกและเป็นปัญหาร้ายแรงทั้งในระดับบุคคลและประชากร. คาดการณ์ว่าภายในปี 2050 จะมีผู้ป่วยกระดูกสะโพกหักถึง 6 ล้านรายทั่วโลก.

งานวิจัยในปี 2001 พบว่า ในสหรัฐฯ เพียงประเทศเดียว มีผู้ป่วยเข้ารับการรักษาในโรงพยาบาลเนื่องจากกระดูกสะโพกหักถึง 310,000 ราย, หรือคิดเป็น 30% ของผู้ที่เข้ารับการรักษาในโรงพยาบาลในปีนั้น. 

อีกงานวิจัยในปี 2011 พบว่ากระดูกคอต้นขาหัก (Femur neck fractures) เป็นหนึ่งในภาวะที่มีค่าใช้จ่ายสูงที่สุดในโรงพยาบาลในสหรัฐฯ โดยมีค่าใช้จ่ายรวมประมาณ 4.9 พันล้านดอลลาร์สำหรับการรักษาผู้ป่วยใน 316,000 ราย. 

อัตราการเกิดกระดูกสะโพกหักในสหรัฐฯ มีแนวโน้มลดลง, ซึ่งอาจเกิดจากการใช้ Bisphosphonates เพิ่มขึ้น(กลุ่มยาที่ใช้ ป้องกันการสูญเสียมวลกระดูก และรักษาภาวะต่าง ๆ) และการจัดการความเสี่ยงที่ดีขึ้น. 

ปัจจัยเสี่ยงที่เกี่ยวข้อง ได้แก่ การล้ม, การมองเห็นที่แย่ลง, น้ำหนักตัว และส่วนสูง โดยเฉพาะการล้ม ซึ่งเป็นปัจจัยเสี่ยงที่พบได้บ่อยที่สุด. ประมาณ 90% ของกระดูกสะโพกหักมีสาเหตุมาจากการล้มจากระดับพื้นดิน.

เนื่องจากอัตราการป่วยและเสียชีวิตจากกระดูกสะโพกหักสูง รวมถึงต้นทุนที่ส่งผลกระทบต่อระบบสาธารณสุข  ในอังกฤษและเวลส์จึงมีการจัดทำฐานข้อมูลระดับชาติว่าด้วยกระดูกสะโพกหัก (National Hip Fracture Database: NHFD) ซึ่งเป็นระบบตรวจสอบภาคบังคับทั่วประเทศเกี่ยวกับการดูแลและการรักษากระดูกสะโพกหักทุกกรณี. 

  • ประชากร (Population)

ภาวะกระดูกสะโพกหักเกิดขึ้นในทุกกลุ่มประชากร แต่จำนวนผู้ป่วยแตกต่างกันไปตาม เชื้อชาติ, เพศ และอายุ. 

    • ผู้หญิงมีกระดูกสะโพกหักมากกว่าผู้ชายถึงสามเท่า.
    • ตลอดช่วงชีวิตของแต่ละบุคคล ผู้ชายมีความเสี่ยงประมาณ 6% ในขณะที่ผู้หญิงวัยหมดประจำเดือนมีความเสี่ยงประมาณ 14%. ข้อมูลนี้ชี้ให้เห็นว่าผู้หญิงมีโอกาสมีกระดูกสะโพกหักมากกว่าผู้ชายถึงสองเท่า.
    • กระดูกสะโพกหักพบได้มากในประชากรผิวขาว ขณะที่ประชากรผิวดำและฮิสแปนิกมีอัตราการเกิดที่ต่ำกว่า, ซึ่งอาจเป็นผลมาจากความหนาแน่นของมวลกระดูกที่มากกว่า และอายุขัยเฉลี่ยที่ยืนยาวกว่า, ทำให้มีโอกาสถึงวัยที่เสี่ยงต่อภาวะกระดูกหักมากขึ้น.
    • ความขาดแคลนเป็นปัจจัยสำคัญที่ส่งผลต่ออัตรากระดูกสะโพกหัก. ในประเทศอังกฤษพบว่า ผู้ที่อาศัยอยู่ในพื้นที่ที่ยากจนที่สุดมีแนวโน้มที่จะกระดูกสะโพกหักมากกว่า และมีโอกาสฟื้นตัวได้น้อยกว่าผู้ที่อาศัยอยู่ในพื้นที่ที่มีความขาดแคลนน้อยที่สุด.
  • ปัจจัยด้านอายุ (Age related)

อายุเป็นปัจจัยสำคัญที่สุดในการเกิดกระดูกสะโพกหัก โดยพบมากที่สุดในผู้ที่มีอายุ 75 ปีขึ้นไป.

อัตราการเกิดกระดูกสะโพกหักเพิ่มขึ้นตามอายุ และเป็นสาเหตุหลักของการเข้ารับการรักษาในโรงพยาบาลของผู้ที่มีอายุเกิน 100 ปี มากกว่าภาวะหัวใจล้มเหลวหรือการติดเชื้อในระบบทางเดินหายใจ. 

การล้มเป็นสาเหตุที่พบบ่อยที่สุดของกระดูกสะโพกหัก โดยพบว่าประมาณ 30–60% ของผู้สูงอายุมีการล้มอย่างน้อยปีละครั้ง, ซึ่งเพิ่มความเสี่ยงของกระดูกสะโพกหักและเพิ่มอัตราการเสียชีวิต โดยพบอัตราการเสียชีวิตภายในหนึ่งปีอยู่ที่ 12–37%.  ในผู้ป่วยที่รอดชีวิต ครึ่งหนึ่งต้องการการช่วยเหลือและไม่สามารถดำรงชีวิตอย่างอิสระได้. นอกจากนี้กระดูกสะโพกหักในผู้สูงอายุมักเกิดจากภาวะกระดูกพรุน (Osteoporosis) ซึ่งเป็นโรคความเสื่อมตามวัยและเกิดจากการสูญเสียมวลกระดูก.  อายุเฉลี่ยของผู้ที่มีกระดูกสะโพกหักคือ 77 ปีสำหรับผู้หญิง และ 72 ปีสำหรับผู้ชาย. 

แปลและเรียบเรียงจาก https://en.wikipedia.org/wiki/Hip_fracture [2025, July 14] โดย ชฎาวีณ์ ไชยภูริพัฒน์

อ่านตรวจทานโดย นพ. ธัชชัย วิจารณ์