กระดานสุขภาพ

พบลักษณะผิดปกติในช่องปาก ลิ้น กระพุ้งแก้ม
Anonymous

2 ตุลาคม 2568 16:00:51 #1

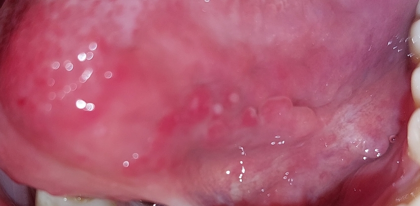
สวัสดีค่ะคุณหมอ หนูมีอาการในช่องปากตั้งแต่วันที่ 19 มิถุนายน 2568 จนถึงปัจจุบัน อยากรบกวนสอบถามค่ะ

อาการที่เป็น

เริ่มแรกเป็นแผลร้อนในเล็กๆ บริเวณปาก/ลิ้น ปากล่างบวมแดง ลิ้นมีอากาการชาคล้ายน้ำร้อนลวก มีตุ่มเล็กขาวคล้ายสิว ทำการเปลี่ยนยาสีฟัน, หยุดใช้ลิป ปากอาการดีขึ้นและหายดี

ต่อมาพบว่า ใต้ลิ้นด้านข้างและกระพุ้งแก้ม มีลักษณะ ขาวๆ ยาวๆ แต่ไม่เป็นแผ่นแข็ง มีตุ่มเล็กๆ ร่วมด้วย ข้างใต้ลิ้นเป็นคราบขาว แปรงแล้วก็กลับมาเป็นอีก ช่วงหลังเริ่มกังวลว่าอาจเป็น เชื้อราในปาก (oral thrush) หรือ oral hairy leukoplakia เป็นๆ หายๆ มานานกว่า 3 เดือนแล้วค่ะ

คำถามที่อยากปรึกษาคุณหมอ

1. อาการที่เป็นเข้าข่ายโรคอะไรได้บ้าง และอันตรายหรือไม่?

2. ควรไปพบหมอแผนกไหน ระหว่าง ทันตกรรมช่องปาก หรือ หูคอจมูก (ENT)

3. ถ้าเป็นเชื้อรา/คราบขาว ควรรักษาอย่างไร และต้องตรวจเพิ่มเติมหรือไม่คะ

ขอบคุณคุณหมอล่วงหน้าค่ะ ???? (รูปที่แนบ)

https://haamor.com/media/create_topic/20251002154545.jpg

https://haamor.com/media/create_topic/202510021545431.jpg

https://haamor.com/media/create_topic/20251002154543.jpg

https://haamor.com/media/create_topic/202510021545422.jpg

https://haamor.com/media/create_topic/202510021545421.jpg

https://haamor.com/media/create_topic/20251002154542.jpg

 

 

อายุ: 21 ปี เพศ: F น้ำหนัก: 45 กก. ดัชนีมวลกาย : 0.00 (ค่ามาตรฐานคนเอเชีย=18.5-22.9)
พ.อ.นพ.ณฐพล จันทรอัมพร

(แพทย์ หู คอ จมูก)

7 ตุลาคม 2568 12:02:47 #2

     ลักษณะไม่เหมือนเชื้อราครับ เหมือนจะแพ้อะไรบางอย่าง ควรไปพบแพทย์ หู คอ จมูก ให้ตรวจและรักษาจะดีกว่าครับ ดูจากรูปเห็นไม่ชัด ไม่เหมือนกับของจริงครับ